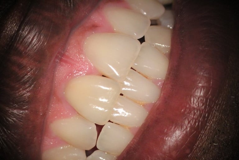
Internal bleaching may be needed when a tooth is discolored. A tooth may become discolored from a dental traumatic injury, or from the materials used to perform a root canal that were not properly cleaned out before restoring the tooth. Typically, discoloration from these methods does not respond well to traditional, external bleaching procedures.
To perform internal bleaching, root canal treatment will first have to be completed if not already done. An opening will be made on the back side of the tooth, so it will not be noticeable. A bleaching agent will be applied on the inside of the tooth, so whitening can work inside-out, as opposed to traditional whitening that works outside-in. A temporary restoration will then be placed on top. The bleaching agent will stay inside the tooth for about a week.
It is important for patients to self-monitor the color status of the tooth. Although rare, if the desired colored is reached before the next scheduled appointment, please call the office to come in sooner to avoid overbleaching.
At the second visit, the color status will be evaluated and discussed. If pleased with the results, the temporary restoration will be removed along with the bleaching agent. If further whitening is desired, a fresh solution of bleaching agent will be placed and the tooth temporized again.
This process can be completed up to three times. Most patients reach desired results after just one attempt.




