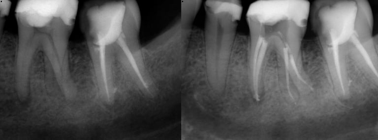
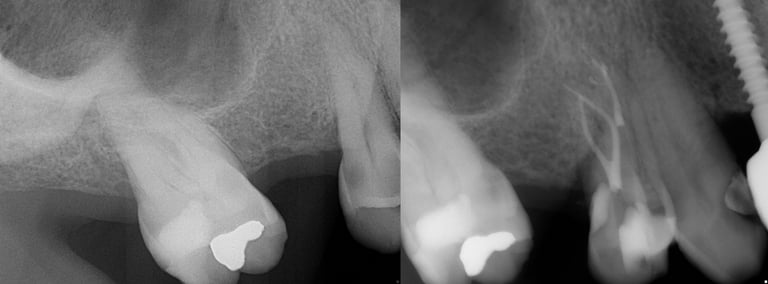
Gallery 1: Initial Cases
Initial Root Canal Cases with preoperative and postoperative radiographs.






















#31 RCT
#5 RCT with 3 canals
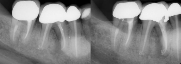
#2 RCT with 4 canals
#19 RCT with 4 canals
#3 RCT with 4 canals
#14 RCT with extreme calcification & 4 canals
#2 RCT with 4 canals
#31 RCT with C-Shaped Canals
#18 RCT with lateral canal
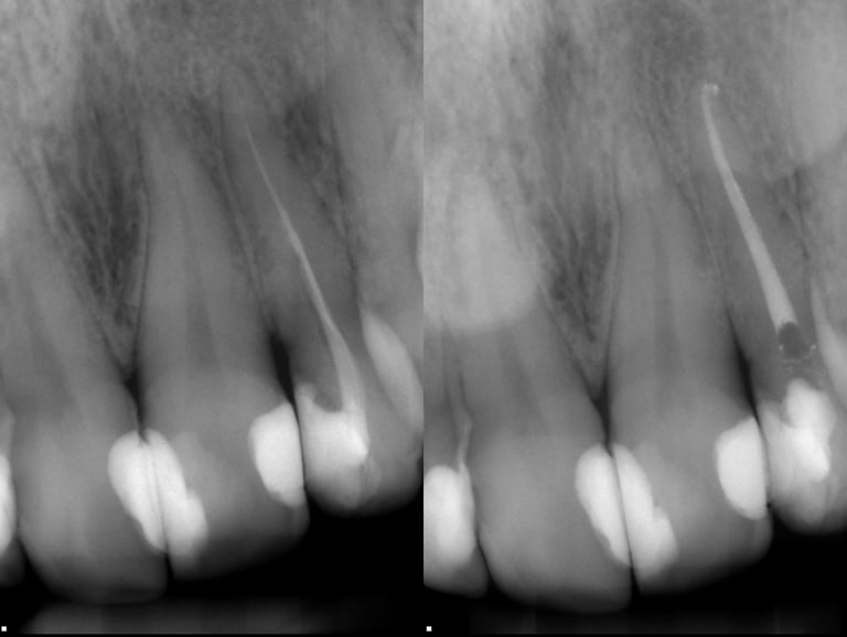
#19 RCT with rare 3rd root
#18 RCT with Severe Curvatures
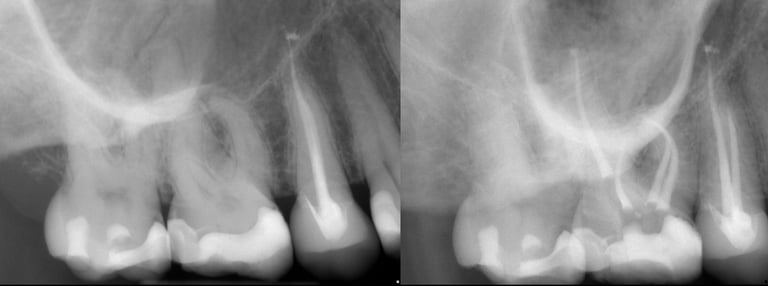
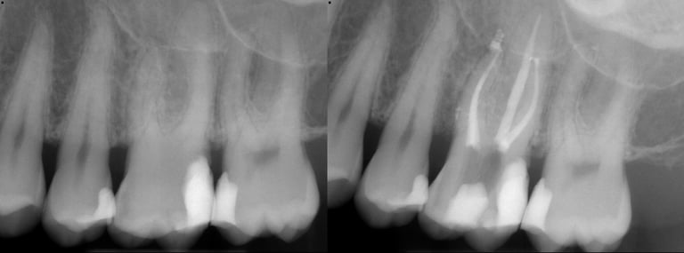
Gallery 2: Retreatment Cases
Retreatment Root Canal Cases with preoperative and postoperative radiographs.










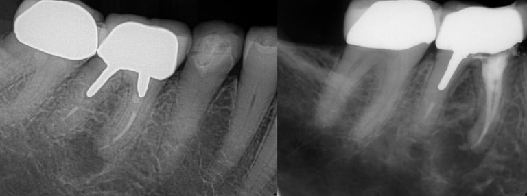
#10 ReTx (original RCT poorly done)
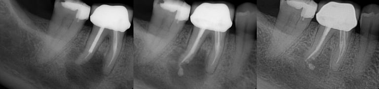
#30 ReTx (original RCT had missed canal)
#14 ReTx (original RCT had missed 4th canal)
#30 ReTx (original RCT had missed canal)
#19 ReTx (original had missed canal)
Gallery 3: Surgical Cases
Surgical Root Canal Cases (Apicoectomy) with preoperative and postoperative radiographs.










#3 Sx MB Root
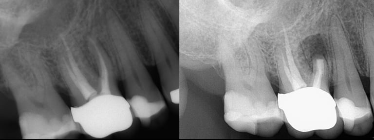
#13 Sx
#14 Resurgery MB & DB roots
#10 Sx
#9 Sx
Gallery 4: Healed Cases
Completely healed cases is what matters most. The lesion/infection (black circle) heals in with bone over time.




