Intentional Replantation is another type of dental treatment when the initial root canal treatment was not successful by either unsatisfactory healing over time, presence of persistent symptoms, or development of a new infection.
Common reasons for unsuccessful treatment include inadequately cleaned canals, additional canal(s) that were not initially treated, new decay (caries) on the tooth that leads to reinfection by bacteria of the canals. Difficult anatomy of the canals may lead to inadequate cleaning or location of the canals. Examples of difficult anatomy include very narrow (calcified) canals, curved roots, and branching canals.
Similar to endodontic microsurgery, intentional replantation is a treatment modality best used when initially all canals were located and appear to have been well treated on digital imaging. Initially unlocated canals, or inadequately treated canals, are typically best served by endodontic retreatment.
Intentional replantation is chosen over endodontic microsurgery as the treatment of choice when access to the roots is extremely difficult, or near anatomic risky landmarks such as larger nerves or arteries. Advantages of intentional replantation over endodontic microsurgery include not needing any incisions and usually no drilling of bone, resulting in less trauma overall. It also allows for complete access and inspection of the roots. Disadvantages include the tooth may be difficult to extract intact, and the possibility of developing resorption (your body dissolves away tooth structure), which may result in further treatment, or future tooth loss.
To perform intentional replantation properly and successfully requires a high degree of skill. An endodontist has gone through extra training, past dental school, to acquire the advanced knowledge and skills needed to perform this highly sophisticated, technical, and microsurgical procedure. Endodontists are trained to use advanced technologies such as operating microscopes, 3D imaging, and ultrasonic instruments. A board-certified endodontist represents an individual who has undergone 3 separate, rigorous examinations to achieve the pinnacle of their profession. This a feat that only around 20% of endodontists have achieved. Keep this in mind when selecting who will provide your endodontic care.
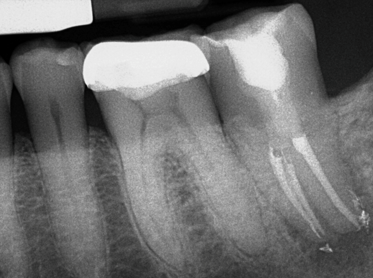
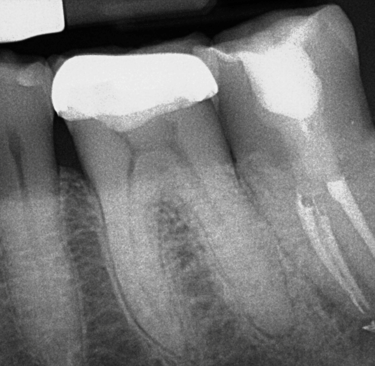
Thorough diagnostic testing and x-ray (radiographic) imaging will be completed to ensure an endodontic problem exists and if it’s the tooth with previous root canal treatment. Additionally, Cone Beam CT 3D imaging will be required to help identify the cause of failure, and to give exact and proper measurements needed for the procedure. Your medically history will also be thoroughly reviewed. The prognosis and description of intentional replantation will then be explained to you.
Intentional replantation begins with numbing (anesthetizing) the gums (gingiva) around the tooth to ensure a comfortable and pain free appointment. The tooth is then extracted very carefully and slowly in order to preserve the entire tooth and minimize damage to the ligament (PDL, periodontal ligament) around the roots of the tooth. This is essential for a successful outcome, both short-term and long-term.
The tooth is then placed in a specialized solution to keep the roots and ligament hydrated. The small, infected portion of the roots are removed. Next, the root ends are prepared and filled with a specialized material, sealing the roots. These steps are completed efficiently and promptly, as working time needs to be kept to a minimum to prevent dehydration of the tooth and ligament, and thus achieve an optimal outcome.
The treated tooth is now placed back in the socket (replanted) in its original position. Sutures, or a splint, may be placed to keep the tooth in position. It is important to bite on gauze for the rest of the day to aid in keeping the tooth in the socket.
Avoid brushing and flossing the area of the replanted tooth for 1-2 days. Some postop discomfort is to be expected. Over-the-counter pain medication is usually adequate. Follow-up visits are needed to remove sutures and asses healing.
Intentional replantation is much more cost-effective than a dental implant, and you get to retain your natural tooth.








Kim, S., Kratchman, S., Karabucak, B., Kohli, M., & Setzer, F. (2018). Microsurgery in Endodontics. Wiley.
*Kim, S., Kratchman, S., Karabucak, B., Kohli, M., & Setzer, F. (2018). Microsurgery in Endodontics. Wiley.
Kim, S., Kratchman, S., Karabucak, B., Kohli, M., & Setzer, F. (2018). Microsurgery in Endodontics. Wiley.




Treatment Completed by Dr. Battista
